


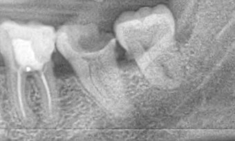
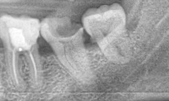
Después de años de investigación y desarrollo, nuestro equipo científico ha probado con éxito la acción proteolítica del gel Cariesend, sobre el tejido cariado. Una sola gota de gel aplicada sobre la caries durante dos minutos es suficiente para degradar las fibrinas que componen la caries. Cariesend es un gel que combina el poder de sustancias naturales como la Papaína, y la resina de Dracaena, que contiene Tapsina, Flavonoides, Taninos y Catequinas. Con acción bactericida, antimicótica, antivírica, desinfectante y cicatrizante.
El tratamiento en casa se hace después del cepillado, aplicando una gota sobre la caries visible, se deja actuar por dos minutos y se retira con un algodón, para caries más profundas se recomienda visitar al odontólogo. En el consultorio se utiliza la cureta, para retirar el tejido cariado después de aplicar el gel Cariesend. Finalmente el odontólogo, repara el diente con resinas del mismo color del diente afectado. El gel cariesend debe aplicarse sobre el diente, tan pronto como pueda ver la lesión, de manera que impida el avance de la infección por caries. Mas adelante cuando pueda visitar el odontólogo, un estudio radiográfico y una revisión en detalle podrá descartar caries ocultas y reparar con resinas las lesiones tratadas en casa.


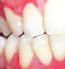
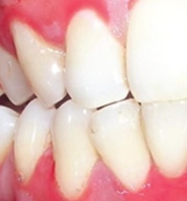
Cuando se acumulan bacterias en las encias, se genera una infección periodontal, que puede destruir el hueso que soporta los dientes, llevandolos a su pérdida total. Este nuevo gel Cariesend, combina el poder de sustancias naturales como la Papaína, y la resina de Dracaena que contiene, Tapsina, Flavonoides, Taninos y Catequinas. Con acción bactericida, antimicótica, antivírica, desinfectante y cicatrizante, que remueven las bacterias que causan la periodontitis, ayudando a disminuir el sangrado.
Después del cepillado y enjuague bucal de rutina, se puede aplicar el gel Cariesend, sobre la encia inflamada con un algodón y se deja actuar por 5 minutos antes de enjuagar. El gel Cariesend actúa con el poder de varias sustancias de origen natural como: papaína, tapsina, flavonoides, taninos y catequinas. Estos tienen acción comprobada en numerosos estudios como bactericida, antimicótica, antivírica, antiinflamatorio, desinfectante y cicatrizante. Tan pronto como pueda debe visitar al odontólogo, para determinar las causas y el tratamiento del problema periodontal. Con un estudio radiográfico el especialista determina si hay daño oseo y le indicará el tratamiento a seguir.

Actualmente, se adelantan estudios cientificos por separado, de gel de papaina sobre quemaduras en la piel, por su capacidad para actuar sobre tejido necrosado, sin dañar el tejido sano. La resina de Dracaena, se utiliza como ingrediente activo en cremas cicatrizantes, y tratamientos antiedad, gracias a su contenido de flavonoides, catequinas y otros, con su capacidad antioxidante.
1. Cuantas caries puedo tratar con un frasco de Cariesend? 100 caries de tamaño medio, el frasco contiene 8ml.
2. Debo cepillarme antes? Si, después del cepillado y enjuague de rutina, se aplica el gel Cariesend.
3. Hace daño si despúes de aplicado se ingiere ? No hace daño, sus ingredientes tambien se usan para tratar gastritis
4. Puede afectar los tejidos sanos? No los afecta, gracias a la antiproteasa alfa 1 antitripsina, no actúa sobre tejidos sanos
5. Puede irritar mi piel al tener contacto con el gel? No, sus componentes se utilizan con éxito en tratamientos cicatrizantes y antiedad.
6. Se puede aplicar en niños y madres gestantes? Si, son los niños y las gestantes, los más propensos a problemas de caries y gingivitis.
7. Puede manchar los dientes ? No, la papaína también se usa en cremas como despigmentante
8. Puedo usar Cariesend si tengo prótesis dental? Si, Cariesend se puede usar en afecciones por bacterias en la cavidad bucal.
9. Puedo aplicarlo a mi mascota ? No es un producto veterinario. Pero algunos veterinarios lo utilizan con éxito en mascotas
10. Cuanto tiempo puede durar almacenado? dos años, almacenado a temperatura ambiente.





Caries avanzada, muy
cerca del tejido pulpar.
Evitando una endodoncia
con el uso de CARIESEND
El gel CARIESEND se aplica una gota y deja
actuar por dos minutos
Se aplica CARIESEND y repite el proceso hasta
lograr una cavidad limpia
Se prepara la superficie
con desmineralizante
Despues de enjuagar, se aplica la resina en capas





Después de cada capa
de resina se polimeriza
con lampara de fotocurado
Utilizamos composite condensable de baja contracción en posteriores
Con un buen registro de oclusión, se inicia el pulido
y acabado final.
El resultado final de la restauración en posteriores con la morfologia y oclusión ideal.
El gel CARIESEND se puede aplicar en los primeros inicios de la caries con un buen cepillado evitando mayores complicaciones.
Doctor. Milton Londoño Lemos,
Quimico Farmaceutico
MSc. PhD. UNAM MX.
Posdoctor Medicinal Bioinorganical Chemistry

Fabricado en Colombia por. Laboratorios Botanica Lab. NSOC95522-19CO
Revista Colombiana de Farmacología febrero 2020
Bogota, Colombia
Contacto para distribuidores Cel. 3115920448
Email. info@cariesend.com
ventas@cariesend.com